Skip to main content
Skip to footer
Cosmetic Dentistry
Invisalign
Sapphire Clear Smiles
Smile Makeover
Teeth Whitening
Veneers & Lumineers
Treatments
General Dentistry
Family Dentistry
Dental Crowns & Bridges
Full and Partial Dentures
Cavity Fillings
Root Canals
Bite Adjustment
Dental Implant
Dental Implant Surgery
Implant Supported Dentures
Full Mouth Dental Implants
Periodontal
Bone Grafting
Tooth Extractions
Sedation Dentistry
Emergency Dentistry
Conditions We Treat
Missing or Failing Teeth
Yellow or Discolored Teeth
Cracked Teeth Repair
Crooked Teeth
Toothache
Gum Disease Treatment
What To Expect
New Patient Consultation
Insurance And Financing
Our Facility
Before & After Photos
Who We Are
About Us
Meet Dr Hoang Doan
Meet Dr Johnny Trinh
Meet The Team
Video Library
Patient Stories
Cosmetic Dentistry
Invisalign
Sapphire Clear Smiles
Smile Makeover
Teeth Whitening
Veneers & Lumineers
Treatments
General Dentistry
Family Dentistry
Dental Crowns & Bridges
Full and Partial Dentures
Cavity Fillings
Root Canals
Bite Adjustment
Dental Implant
Dental Implant Surgery
Implant Supported Dentures
Full Mouth Dental Implants
Periodontal
Bone Grafting
Tooth Extractions
Sedation Dentistry
Emergency Dentistry
Conditions We Treat
Missing or Failing Teeth
Yellow or Discolored Teeth
Cracked Teeth Repair
Crooked Teeth
Toothache
Gum Disease Treatment
What To Expect
New Patient Consultation
Insurance And Financing
Our Facility
Before & After Photos
Who We Are
About Us
Meet Dr Hoang Doan
Meet Dr Johnny Trinh
Meet The Team
Video Library
Patient Stories
832-304-1222
book now
Book Now
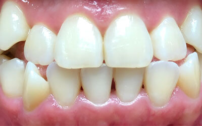
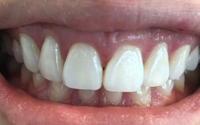
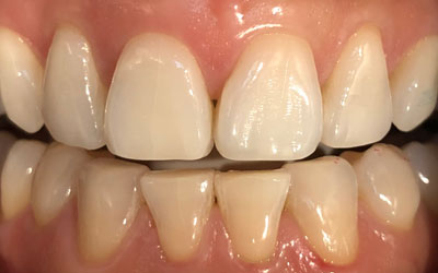
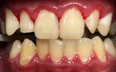
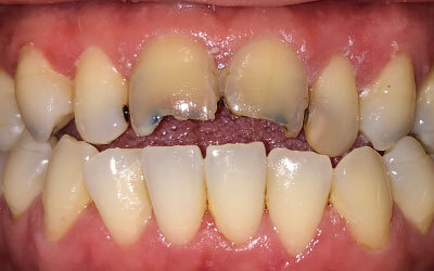
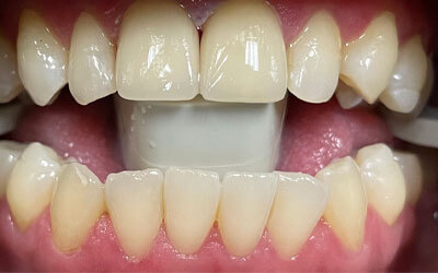
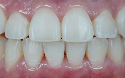
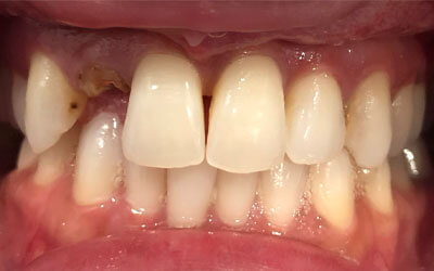
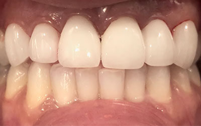
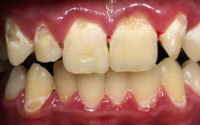
Before & After Photos
Teeth Whitening
Porcelain Veneers
Chipped Tooth
Crowns
Invisalign
Fillings